歯ぎしり・食いしばり治療
- 高円寺の歯医者「ジュンデンタルオフィス高円寺」TOP
- 歯ぎしり・食いしばり治療
歯ぎしり治療にはナイトガード(就寝時に装着するマウスピース)を使用します。
当院では、マイオモニターによるかみあわせ力の検査、ナイトガード治療、ボツリヌス治療を行っています。
Q . 歯ぎしり・食いしばりとはどんなものですか?
歯ぎしりは、それ自体は病気とはいえませんが、放置することで他の障害や問題を引き起こす悪い習癖です。
歯ぎしりとは、一般的に知られているギシギシと音を立てる歯ぎしりの他、こうした音のしない食いしばりや日中の噛みしめなども含まれます。
│グラインディング(歯ぎしり)

│クレンチング(食いしばり)


睡眠中は日中の食事のように噛み方や力をコントロールできず、諸説ありますが、その力の大きさは人によっては体重の3から5倍になるともいわれています。少なくとも、起きている時の噛む最大力以上で歯ぎしりをしていることとなり、歯や顎に大きな負荷がかけられていることになります。
日中、睡眠中を問わず、歯ぎしり食いしばりはいずれも悪い習慣として位置づけられており、これらが強い力で行なわれたり、たとえ弱い力でも、長時間、長期にわたって継続すると様々な障害がおきてきます。
睡眠時の歯ぎしりくいしばり(専門的には睡眠時ブラキシズムといいます)は、日本人の人口のほぼ10%が行っていると報告されています。
Q . 歯ぎしり食いしばりはなぜおきるのですか?
これだけが原因です、といったような特定はされていません。下に示すような様々な要因が絡み合っています。
- お酒の飲みすぎ、タバコの吸いすぎ、カフェイン摂取による睡眠の質の低下
- ストレス
- 家族からの遺伝
- 医師から処方されて飲んでいる薬
- 睡眠時無呼吸症候群や逆流性食道炎などの特定の病気

歯ぎしりは眠っている間に脳や中枢神経が活発に活動することで起きることが研究によりわかっています。
主に浅い眠りの間(レム睡眠時)に起きるので、「質の高い睡眠をとること」が歯ぎしりを減らし、お口の健康を長く維持するうえでも根本的に大切です。
したがって睡眠障害や睡眠習慣を改善することが必要ですが、その間もナイトガードと呼ばれる「マウスピースによるスプリント療法」で歯ぎしり力から歯や歯ぐき、顎関節を守るための対応をします。
Q . 歯ぎしりをしているかセルフチェックできますか?
寝ている間の歯ぎしりを自覚されている方は多くありません。しかし、歯ぎしりしている方のお口には独特の状態がみられます。
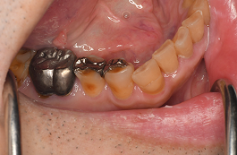
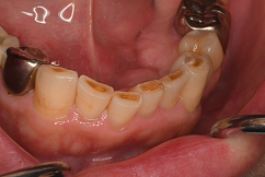
1歯がすり減ってスパッと切れたようにつるつるの面になっている。歯のフチが尖ったりザラついたりしている。

歯がすり減る
2り減った面の真ん中に行くにつれてさらに茶色のへこみができている(エナメル質がすべて摩耗し、芯部の象牙質が見えてしまっている)

茶色のへこみができる
3朝起きた時に顎や頬に疲れがある、歯が浮いたような感じや痛み、違和感がある

歯に違和感がある
4歯のケアはしっかりしているのに虫歯になりやすい。

虫歯になりやすい
5詰め物かぶせ物が壊れたり取れたりやすい

詰め物が取れる
6頬の筋肉が非常に発達していわゆるエラ張り顔になっている

エラ張りになる
7ボコボコともり上がった骨があるなどの所見がみられることもしばしばです。

ボコボコともり上がった
骨がある
8舌の側面や頬の内側に噛みこみの跡がある

噛みこみの跡がある
9歯と歯ぐきの境目にえぐれたような凹みがある 歯磨きの時に歯がしみる

歯がしみる
Q . なぜ歯ぎしり食いしばりは放っておいてはいけませんか?
- 歯をすり減らし、欠けやヒビが入り、その結果、虫歯になりやすくなったり、歯が折れる原因となりえます
- 歯ぎしりによる過剰な力は、歯を支えている周囲の骨を溶かして減らすことがあります。
- 歯ぎしりは歯周病の直接の原因にはなりませんが、すでに歯周病である場合、状態を大きく悪化させます。

マウスピースを就寝時に装着することで、
歯・顎関節・首・肩などにかかる負担を減らすことができます。
Q . 歯ぎしり食いしばりは治すことができますか?
歯ぎしり自体を完全に無くす方法は残念ながらありません。
現状では、歯ぎしり食いしばりによる問題から守り、お口の状態を長く良い状態に保つための「管理」としてナイトガードを使用していくことが最善です。

歯ぎしりの原因はさまざまで、その方のどの要因が歯ぎしりに最も影響しているかを解明するのは難しく、またその方によって、また同じ方でも時期によって異なります。
歯ぎしりを完全に無くす、または根本的に治す方法は残念ながらありません。根本的には睡眠習慣を見直したり、睡眠障害を改善することが必要となりますが、いずれも短期間で効果を実感できるものはなく、一筋縄ではいかないでしょう。
したがってその間もナイトガードを使用し、歯や顎を守る必要があります。
Q . ナイトガードとはどのようなものですか?
当院では2種類のナイトガードをご用意しております。(保険適応)
│オクルーザルスプリントタイプ

│グラインディング(歯ぎしり)

お口の状態やこれまでの使用経験に照らしてより良い装置をご提案いたします。
当院では作成にあたり、どのくらいの力で噛みこんでいるか事前に検査もでき、客観的な指標となります。
ホルター筋電計MyOnyx
(マイオニクス)

来院の流れ

来院1回目
かみ合わせの検査を行います。
歯型をとり、フィットのよいナイトガードを作成します。

来院2回目
お口の中で適切なかみ合わせに調整しお渡しいたします。

来院3回目
お使いいただき、違和感など問題がある場合は調整します。
部分入れ歯をしている方は就寝時、入れ歯を外すことから、残っているご自身の歯だけで歯ぎしりすることとなり、より負担が増すこととなります。 いればを入れている方も、ナイトガードを適切に使用することにより過剰な噛む力や摩擦力を分散させると同時に顎関節を過剰な負荷から守ります。
Q . ナイトガードをすると気になって眠れない

中にはナイトガードをつけると気になって寝つきが悪い、締め付けられる感じが気持ち悪いなどの理由でナイトガードの使用ができない方がいらっしゃいます。その場合はナイトガードのサイズを調整する、フィット感を調整するなどの対応を致します。それでも使用できない場合は無理せず使用を中止していただきますが、ボツリヌス療法等を利用し、睡眠中に起こる、無意識下での過剰な咬合力を抑制することも効果的です。(自由診療)
Q . 当院のボツリヌス治療(保険適応外)

ボツリヌス治療とはA型ボツリヌス毒素(天然タンパク質)を咬筋(噛むときに使われる筋肉)に注射することにより、著しく発達した咬筋をゆるめ、過度な噛む力を弱める治療方法です。
夜間の歯ぎしりや食いしばりに対しては、マウスピースを装着し力の分散をする方法がありますが、ボツリヌス治療は噛む力の大きさそのものを低下させ、夜間だけでなく、日中の無意識下での食いしばりにも効果が期待できます。
歯ぎしり・食いしばり治療の症例紹介
症例紹介①


| 患者さまのお悩み | |
|---|---|
| 治療内容 | |
| 年齡 | |
| 性別 | |
| 治療期間 | |
| 治療費 | |
| 治療で得られるメリット | |
| 治療する際に起こる リスク・副作用 |
症例紹介②


| 患者さまのお悩み | |
|---|---|
| 治療内容 | |
| 年齡 | |
| 性別 | |
| 治療期間 | |
| 治療費 | |
| 治療で得られるメリット | |
| 治療する際に起こる リスク・副作用 |


